今回は反対咬合(受け口)でご相談いただいた症例をご紹介します

〈7歳の男の子〉
お母さまから「噛み合わせが逆になっているのが気になる」とご相談をいただきました。
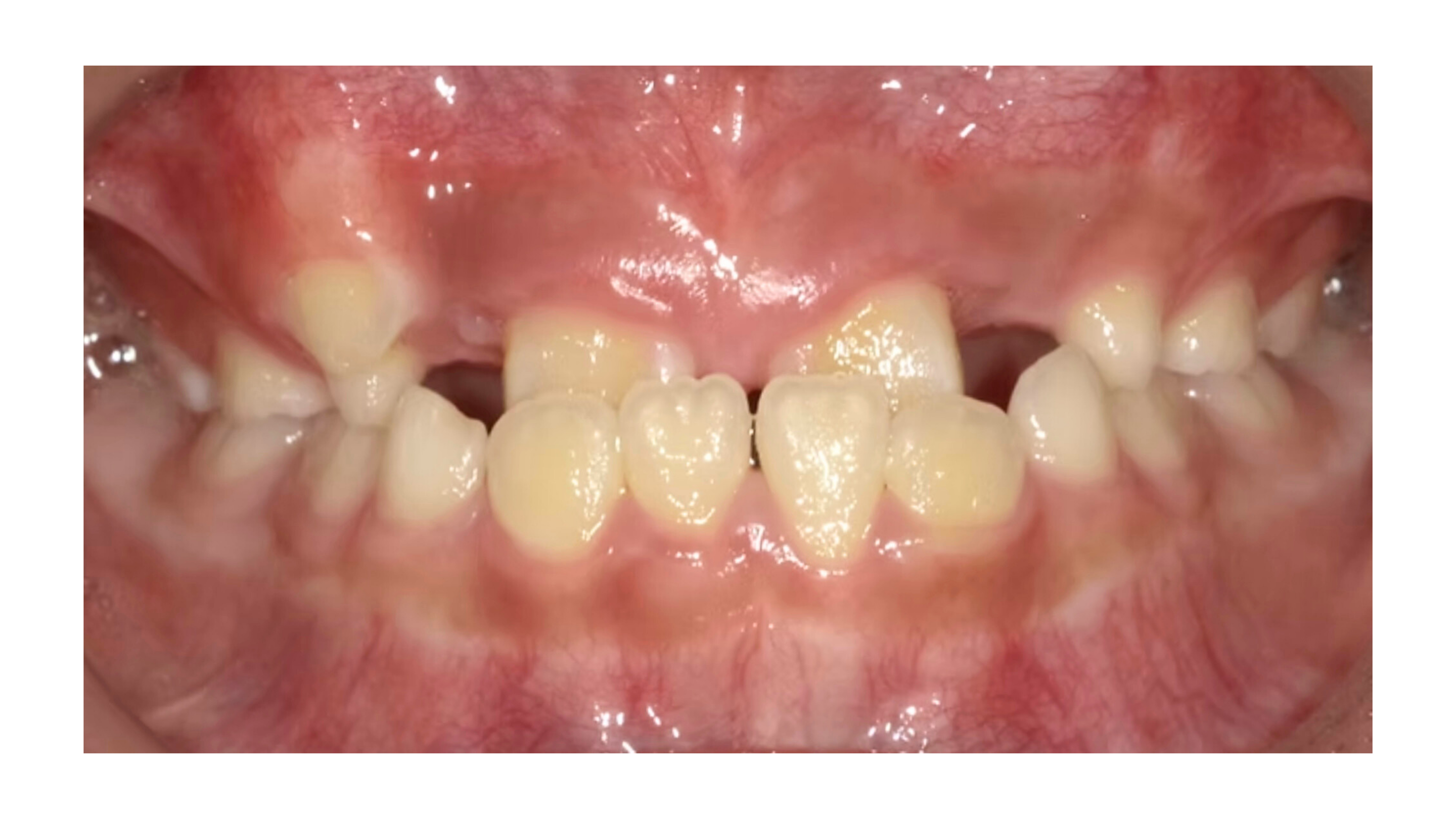
診てみると、
• 重度の反対咬合(受け口)
• 上の前歯部分に2本の過剰歯が存在
• 上アゴの成長不足
といった状態があり、このまま成長すると「永久歯が生えるスペースが足りず、さらに歯並びが悪化する」ことが予想されました。

「上アゴの状態について」
本来、前歯が生えてくるべきスペースには過剰歯があり、さらに上アゴ自体が小さいため、↔のスペースに永久歯が2本ずつ生えてくるがスペースがありませんでした。
そのため、まずは「上アゴを拡げて十分なスペースをつくる」ことが治療のポイントとなりました。
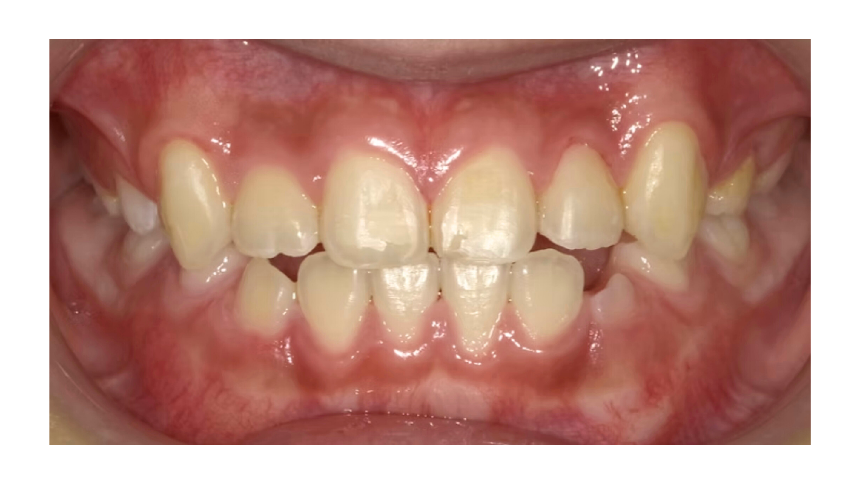
「矯正治療の経過」
小学2年生から矯正治療をスタート。
治療期間は1年6か月でした。

その結果…
反対咬合が改善
上アゴのスペースが確保され、永久歯が並ぶ余裕ができた
前歯の噛み合わせも自然に整い、見た目もすっきり
笑顔もより自然で健康的になりました
「反対咬合は早期治療が大切」
反対咬合は「3〜5歳」での治療開始が理想的とされています。
成長期を利用して上アゴを広げられるため、短期間での改善が期待できます!
「まだ乳歯だから大丈夫」と思っていても、実はこの時期こそ治療のチャンスなんです

今回の症例では、早めの治療によって
「永久歯がきれいに並ぶ土台」 を整えることができました。
お子様の歯並びについて少しでも気になることがあれば、まずは一度ご相談ください。
無料相談も行っておりますので、お気軽にお問い合わせください
矯正症例はInstagramでも公開中★
ぜひこちらもチェックしてみてくださいね!






